Gummy Smile Treatment

Dr. Firas Osman

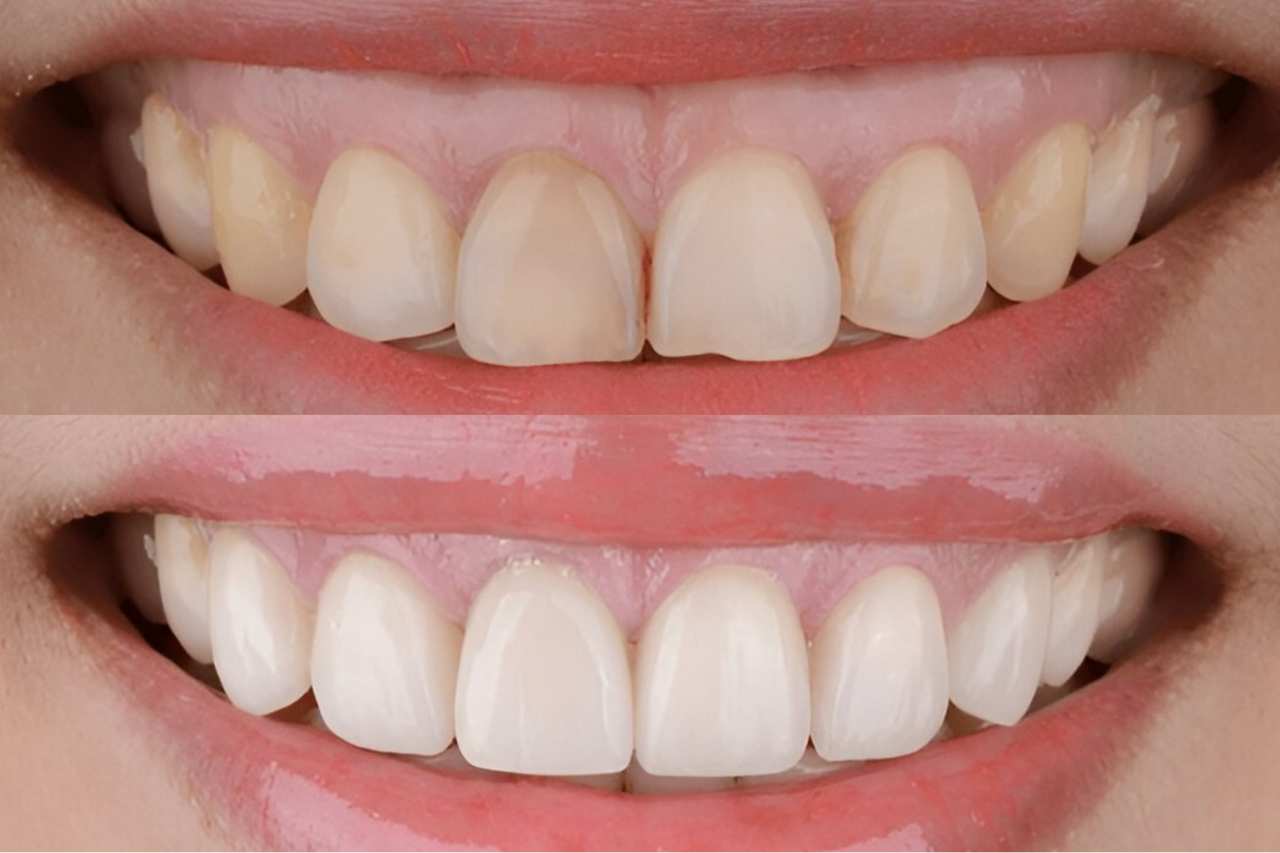
Gummy Smile Treatment

Say Goodbye to Gummy Smiles
A Confident Smile Starts Here

Do you feel self-conscious about your smile due to excessive gum display? You're not alone! A gummy smile can significantly impact your self-esteem.

What Causes a Gummy Smile?

A gummy smile can arise from various factors, including:

Genetics:

Inherited traits can influence gum and tooth proportions.

Short Teeth:

Teeth may appear shorter than average, exposing more gum tissue.

Overactive Upper Lip:

Excessive lip movement can reveal more gum when smiling.

Finding the Right Solution

Dr. Firas Osman offers a range of personalized treatment options to address your unique concerns:

Gingivectomy: A surgical procedure to remove excess gum tissue.

Crown Lengthening: Reshaping gum and bone to enhance tooth visibility.

Orthodontics: Braces or other appliances to reposition teeth and underlying bone.

Lip Repositioning: Surgical adjustment of lip muscles for reduced gum display.

Schedule Your Consultation Today

Ready to achieve a more balanced and confident smile? Contact Dr. Firas Osman today to schedule a consultation. Let's discuss your goals and create a customized treatment plan that's right for you.

Am I a Good Candidate?

If you're unhappy with the appearance of your gums when you smile, a consultation with Dr. Osman can help determine the best treatment approach for you.

Your Post-Treatment Care

Following your procedure, Dr. Osman will provide specific instructions for optimal healing and long-lasting results. These may include:

Meticulous oral hygiene practices
Gentle brushing and flossing techniques
Abstinence from smoking and tobacco products
Following a soft diet for a brief period
Need more help?

(+971) 43992400

Dr. Firas Osman

Gummy Smile Treatment

Say Goodbye to Gummy Smiles
A Confident Smile Starts Here

Do you feel self-conscious about your smile due to excessive gum display? You're not alone! A gummy smile can significantly impact your self-esteem.

What Causes a Gummy Smile?

A gummy smile can arise from various factors, including:

Genetics:

Inherited traits can influence gum and tooth proportions.

Short Teeth:

Teeth may appear shorter than average, exposing more gum tissue.

Overactive Upper Lip:

Excessive lip movement can reveal more gum when smiling.

Finding the Right Solution

Dr. Firas Osman offers a range of personalized treatment options to address your unique concerns:

Gingivectomy: A surgical procedure to remove excess gum tissue.

Crown Lengthening: Reshaping gum and bone to enhance tooth visibility.

Orthodontics: Braces or other appliances to reposition teeth and underlying bone.

Lip Repositioning: Surgical adjustment of lip muscles for reduced gum display.

Schedule Your Consultation Today

Ready to achieve a more balanced and confident smile? Contact Dr. Firas Osman today to schedule a consultation. Let's discuss your goals and create a customized treatment plan that's right for you.

Am I a Good Candidate?

If you're unhappy with the appearance of your gums when you smile, a consultation with Dr. Osman can help determine the best treatment approach for you.

Your Post-Treatment Care

Following your procedure, Dr. Osman will provide specific instructions for optimal healing and long-lasting results. These may include:

Meticulous oral hygiene practices
Gentle brushing and flossing techniques
Abstinence from smoking and tobacco products
Following a soft diet for a brief period
Schedule Your Consultation Today

Ready to achieve a more balanced and confident smile? Contact Dr. Firas Osman today to schedule a consultation. Let's discuss your goals and create a customized treatment plan that's right for you.

Need more help?

(+971) 43992400

Book Your Visit

Contact Form Demo