...

Gum Depigmentation

Dr. Firas Osman

Gum Depigmentation

Enhance Your Smile: Gum De-pigmentation
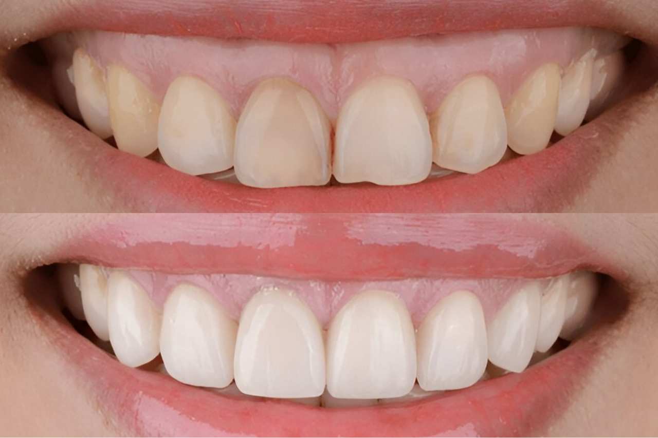
Achieve a Radiant Smile with Gum De-pigmentation

Do you feel self-conscious about dark spots or uneven pigmentation on your gums? Gum de-pigmentation can significantly enhance your smile's appearance by restoring a more even and natural gum color.

What is Gum De-pigmentation?

Gum de-pigmentation is a cosmetic dental procedure that removes excess melanin, the pigment responsible for gum color. This can be beneficial if you're looking to:

Improve the appearance of gums
Even out the color of your gums
Lighten dark spots or discolorations
Schedule a Consultation Today

If you're interested in learning more about how gum de-pigmentation can transform your smile, please contact my office to schedule a consultation. I'll discuss your individual concerns and goals to determine the best treatment plan for you.

Need more help?

(+971) 43992400

Experience the Benefits of Laser Gum De-pigmentation

At my practice, I utilize advanced laser technology for gum de-pigmentation. This minimally invasive approach offers several advantages:

Precise Treatment:

Laser technology allows for highly targeted removal of pigmentation.

Minimal Discomfort:

Expect reduced bleeding and discomfort compared to traditional methods.

Faster Healing:

Enjoy a quicker recovery time with minimal downtime.

Dr. Firas Osman

Gum Depigmentation

Enhance Your Smile: Gum De-pigmentation
Achieve a Radiant Smile with Gum De-pigmentation

Do you feel self-conscious about dark spots or uneven pigmentation on your gums? Gum de-pigmentation can significantly enhance your smile's appearance by restoring a more even and natural gum color.

What is Gum De-pigmentation?

Gum de-pigmentation is a cosmetic dental procedure that removes excess melanin, the pigment responsible for gum color. This can be beneficial if you're looking to:

Improve the appearance of a "gummy smile"
Even out the color of your gums
Lighten dark spots or discolorations
Schedule a Consultation Today

If you're interested in learning more about how gum de-pigmentation can transform your smile, please contact my office to schedule a consultation. I'll discuss your individual concerns and goals to determine the best treatment plan for you.

Need more help?

(+971) 43992400

Experience the Benefits of Laser Gum De-pigmentation

At my practice, I utilize advanced laser technology for gum de-pigmentation. This minimally invasive approach offers several advantages:

Precise Treatment:

Laser technology allows for highly targeted removal of pigmentation.

Minimal Discomfort:

Expect reduced bleeding and discomfort compared to traditional methods.

Faster Healing:

Enjoy a quicker recovery time with minimal downtime.

Book Your Visit

Contact Form Demo

Seraphinite AcceleratorOptimized by Seraphinite Accelerator
Turns on site high speed to be attractive for people and search engines.